At Pure Smiles in Fulham, we combine compassion with advanced technology to ensure every implant journey is tailored, precise, and comfortable. Led by Dr Riz Syed, our implant team uses fully digital planning to achieve predictable, long-lasting results with minimal discomfort.

To understand why implants are unique, it helps to look at basic oral anatomy. Natural teeth don’t just sit on the gums – they are anchored deep into the alveolar bone of the jaw. Each tooth root stimulates the surrounding bone through chewing forces, keeping it dense and strong.
When a tooth is lost, this stimulation stops, and the bone begins to resorb (shrink). This can alter facial shape over time, making the cheeks look hollow or the jawline less defined. Dentures and bridges replace the visible part of the tooth but do not address this hidden issue. Dental implants, however, are titanium posts that fuse directly with bone through a process called osseointegration, restoring both form and function.
1. Dental Bridges

A traditional dental bridge replaces a missing tooth by anchoring an artificial tooth (pontic) between two crowns. These crowns are cemented onto the adjacent teeth, known as abutment teeth, which must be filed down to support the bridge.
While bridges can restore chewing function, they don’t extend below the gum line, so they do not replace the missing tooth root. As a result, the alveolar bone beneath the gap continues to resorb, which can lead to gum recession and long-term instability.

Dentures are removable prosthetic devices made from acrylic resin, sometimes reinforced with metal frameworks. They sit directly on the gums and are held in place by suction, clasps, or adhesive.
Because dentures rest on soft tissue rather than integrating with bone, chewing forces are transferred unevenly, often causing sore spots and accelerating bone resorption of the jaw. Over time, this bone loss can make dentures increasingly loose, requiring relining or replacement. Patients may also notice changes in speech and reduced bite force compared to natural teeth.

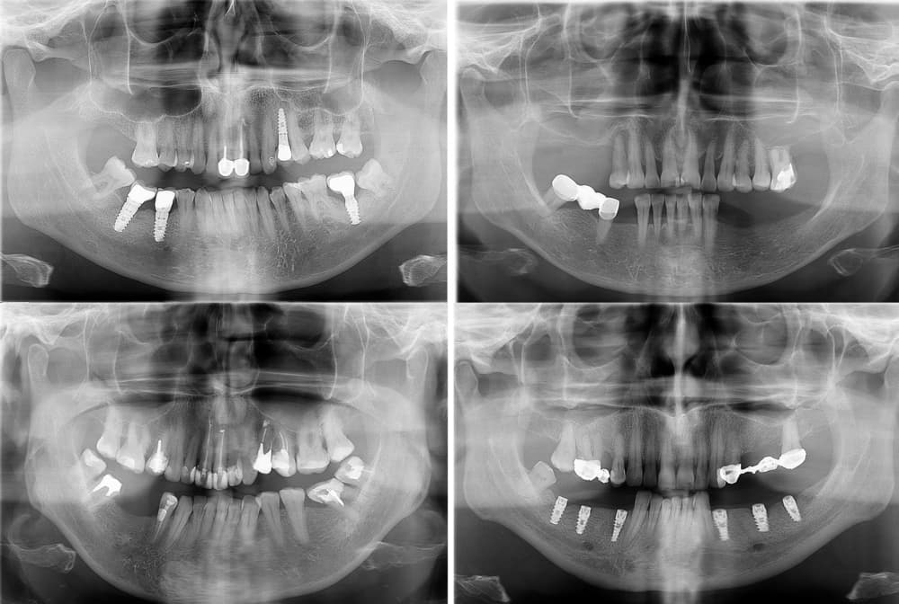
Dental implants are small titanium or zirconia posts surgically placed into the jawbone to act as artificial roots. Over several weeks, the implant undergoes osseointegration, where living bone cells attach firmly to the implant surface. Once healed, the implant can support a crown, bridge, or denture with remarkable stability.
Because implants directly stimulate the alveolar bone, they prevent the resorption process and preserve facial contours. Implants are also bioinert, meaning the body does not reject them, and modern surface treatments (such as sandblasting and acid-etching) enhance bone bonding for long-term success.
Implants restore the natural relationship between teeth and bone, reducing the risk of jawbone shrinkage.
Once restored with a crown or bridge, implants mimic natural teeth in appearance, speech, and chewing ability.
With proper care, implants can last decades, far outlasting traditional dentures or bridges.
Implants can withstand normal chewing forces, allowing you to enjoy a wide range of foods without worry.
Adjacent teeth remain untouched, which preserves more of your natural dentition.
At Pure Smiles, the process begins with a digital 3D scan for precise planning. Implants are placed with advanced minimally invasive techniques, and every stage is designed for patient comfort and long-term stability.
While implants are highly successful, they may not suit every patient immediately. Good oral health, sufficient bone density, and lifestyle factors (like smoking) play a role in healing and success rates. In cases of bone loss, procedures like bone grafting or sinus lifts may be recommended to rebuild the foundation.
Dental implants are more than just a cosmetic solution. By replicating the function of natural tooth roots, they protect bone health, preserve facial structure, and restore everyday function in a way that dentures and bridges cannot fully achieve. At Pure Smiles in Fulham, patients benefit from the expertise of Dr Riz Syed and a team that blends over 50 years of collective experience with cutting-edge technology. The result: a tooth replacement solution that looks, feels, and functions naturally, helping you smile, speak, and live with renewed confidence.